Logo MJI

 

Section Abstract Introduction Case Report Discussion Conflict of Interest Acknowledgment Funding Sources References

Case Report/Series

 

Conservative surgery for stage IC2 mucinous borderline ovarian tumor: a five-year follow-up case report

Tofan Widya Utami, Hiro Hidaya Danial Nasution, Arisda Oktalia, Fitriyadi Kusuma, Gatot Purwoto

 

 

 

pISSN: 0853-1773 • eISSN: 2252-8083

https://doi.org/10.13181/mji.cr.257637 Med J Indones. 2025;34:127–31

 

Received: June 13, 2024

Accepted: April 15, 2025

 

Authors' affiliation:

Department of Obstetrics and Gynecology, Faculty of Medicine, Universitas Indonesia, Cipto Mangunkusumo Hospital, Jakarta, Indonesia

 

Corresponding author:

Tofan Widya Utami

Division of Oncology and Gynecology, Department of Obstetrics and Gynecology, Faculty of Medicine, Universitas Indonesia, Cipto Mangunkusumo Hospital,

Jalan Diponegoro No. 71, Senen, Central Jakarta 10430, DK Jakarta, Indonesia

Telp/Fax: +62-21-1500135 ext. 1252/+62-21-3148620

E-mail: tofanwidya@yahoo.com

 

 

Mucinous borderline ovarian tumors (MBOTs) represent a significant portion of all borderline ovarian tumors, including variants such as microinvasion and intraepithelial carcinoma, which have a higher recurrence risk. Conservative surgery is recommended for patients with MBOTs seeking fertility preservation, despite remaining a debated option to reduce recurrency. This case highlighted successful MBOT management using conservative surgery with unilateral salpingo-oophorectomy, providing insights into optimal recurrence control. A 30-year-old woman presented with abdominal enlargement, with imaging revealed a large right ovarian mass suspected to be malignant. A left salpingo-oophorectomy was performed, with final histopathology confirming MBOTs with microinvasion and intraepithelial carcinoma. No malignancy was found in the peritoneal fluid, and no adjuvant therapy was given due to fertility preservation reasons. No recurrence after 5 years of follow-up. This report highlights the potential of conservative surgery as a fertility-preserving option for young patients with stage IC2 MBOTs.

 

Keywords

fertility preservation, ovarian neoplasms, salpingo-oophorectomy

 

 

Mucinous borderline ovarian tumors (MBOTs) are a subtype of epithelial ovarian tumors characterized by cellular proliferation without stromal invasion, placing them between benign and invasive tumors in terms of biological behavior.1 In North America and Europe, MBOTs comprise 30–50% of all borderline ovarian tumors (BOTs), but they are the most common in Asia, accounting for approximately 70%.2 These tumors have varied histopathological presentations, including borderline tumors with intraepithelial (noninvasive) carcinoma and microinvasion. A study by Chen et al reported that MBOTs with intraepithelial carcinoma were often observed at stage IC and accompanied by microinvasive carcinoma.2,3 While MBOTs generally have a favorable prognosis, the presence of microinvasion or intraepithelial carcinoma may increase the risk of recurrence, though the evidence still evolves.3,4 Conservative surgery is recommended for patients with MBOTs wishing to preserve fertility, though its surgical approach remains debated, particularly concerning the risk of recurrence.2,5

This case report presents a young patient with stage IC2 MBOT, who underwent conservative surgery and remained recurrence-free over a 5-year follow-up. The study aimed to highlight the significance of MBOTs in clinical practice, focusing on the significance of conservative surgery, particularly unilateral salpingo-oophorectomy (USO). This approach provides a foundation for further discussion on choosing the optimal strategies for conservative surgeries to minimize recurrence.

 

CASE REPORT

 

A 30-year-old female, P1A0, visited the gynecology oncology outpatient clinic at Cipto Mangunkusumo Hospital, Jakarta, in June 2019. She was referred from a private hospital with suspected ovarian cancer. Her chief complaint was an abdominal enlargement for 1 year without any other problem. Her physical examination revealed upper limit enlargement three fingers above the navel, smooth surface, and immobile (Figure 1). The patient provided written informed consent for the use of her medical information and images in this case report.

 

Figure 1. The external pelvic examination. (a) Abdominal enlargement observed from lateral view; (b) palpable cystic mass extending up to three fingers above the navel

 

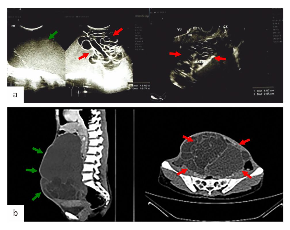
Imaging studies, including ultrasound (US) and contrast-enhanced computed tomography (CT) scans, were done (Figure 2). Her US examination revealed a large mass in the right ovary, which was suspected of a mucinous-type malignancy. The CT scan of the whole abdomen revealed a large, septated cystic mass in the right ovary, measuring 12.8 × 22.1 × 25.8 cm, without signs of infiltration into surrounding organs. Malignancy was suspected, and the tumor marker cancer antigen 125 was elevated at 194 U/ml.

 

Figure 2. US and CT scan imaging. (a) US image shows a large mass in the right ovary, suspected malignancy of a mucinous type (green arrow) with >10 locules (red arrows); (b) CT of the whole abdomen image shows a large (green arrows), septated cystic mass (red arrows) in the right ovary, measuring 12.8 × 22.1 × 25.8 cm, without signs of infiltration into surrounding organs. CT=computed tomography; US=ultrasound

 

In October 2019, the patient underwent a conservative surgical staging, considering her young age and wishes to preserve fertility, including laparotomy with left salpingo-oophorectomy, omentectomy, and appendectomy. The macroscopic view is shown by Figure 3, a and b. Intraoperative frozen section (IFS) analysis suggested the left ovarian tumor was a mucinous tumor with borderline features with microinvasion and intraepithelial carcinoma.

 

Figure 3. Macroscopic and microscopic view of the tumor. (a) Intraoperative findings: huge cystic mass from right ovary size 20 × 24 × 30 cm; (b) the specimens: left adnexal mass (green arrow), omentum (red arrow), appendix (yellow arrow); (c) left ovarian cystic mass; (d) mucinous borderline ovarian tumors with microinvasion (blue arrow); (e) intraepithelial carcinoma (blue arrow)

 

The final histopathological result confirmed a left MBOT with microinvasion and intraepithelial carcinoma (Figure 3, d and e). No implant (non invasive cluster of tumor cells) was seen in the right tube, omentum, or appendix. Her cytologic examination of the peritoneal fluid showed no signs of malignancy. Given these findings, her case was classified as stage IC2 based on the International Federation of Gynecology and Obstetrics staging system due to the presence of microinvasive carcinoma within the ovarian tumor and the negative cytology from the peritoneal fluid. She had regular follow-ups without any adjuvant treatment. In August 2020, she performed another physical, US, and CT scan examination, which showed no abnormalities. Follow-up was conducted for 5 years, with no clinically palpable enlargement of the mass, no recurrence detected, and no reported complaints.

 

DISCUSSION

 

MBOTs account for 35–45% of all BOTs and typically occur in younger patients, with an average age of 38. The highest occurrence related to invasive ovarian cancer is found in the 15–29 years age group, which aligns with our case.5 These tumors generally have a favorable prognosis, with survival rates exceeding 95%.¹ The presence of intraepithelial carcinoma and microinvasion increase the risk of recurrence.³ In this case, a conservative surgical approach, USO, was chosen due to its lower recurrence rates, particularly in younger patients wishing to preserve fertility.6

Selecting appropriate cases for conservative surgical management is crucial. Ideal candidates typically include young women with reproductive preservation wishes, in an early-stage disease confined to one ovary, and tumors that do not exhibit aggressive histological features.7 Additionally, the absence of malignancy in IFS analysis may allow for conservative approaches, emphasizing the need to consider patient preferences and involve multidisciplinary discussions.8

The choice of conservative surgery for MBOTs has been extensively debated, particularly regarding the risk of recurrence. Studies report recurrence rates of 0–25% following USO, compared to 10–42% with cystectomy alone.6 A 2018 study by Fang et al9 focused on young patients (≤40 years old) with BOTs who underwent fertility-sparing surgery, and also reported that the recurrence rate was higher in those who underwent cystectomy than USO (60% versus 24%), although this difference was not statistically significant. Additionally, pregnancy rates were comparable between both groups (50% versus 69%), indicating that both procedures preserve fertility, but USO may offer a lower risk of recurrence.9

Additionally, the consensus statement from the European Society for Medical Oncology and the European Society of Gynaecological Oncology suggests that conservative surgical approaches for young women with BOTs seeking fertility preservation, that involves preserving at least part of one ovary and uterus. For MBOT cases, USO is recommended to decrease the risk of invasive recurrence after cystectomy, followed by careful monitoring postsurgery.10 Despite the superiority in preserving fertility, the risk of incomplete staging and cyst rupture during laparoscopic procedures remains a concern.6 Our case emphasizes the importance of comprehensive surgical staging to mitigate those risks. The lack of benefit and higher toxicity from adjuvant therapy in MBOT cases, as suggested by existing literature, supports the decision to exclude postoperative treatment in this patient.8

Notably, no recurrence was observed during the 5-year follow-up, highlighting the potential efficacy of conservative surgery for managing stage IC2 MBOT, particularly when comprehensive surgical staging is performed.6 While the optimal follow-up duration remains debated, our case demonstrates that 5 years of intensive monitoring may be sufficient in certain cases, as supported by Sun et al11 who reported the median recurrence time for MBOT case was 26.4 (range 13–50) months. Furthermore, extended follow-up may be warranted until up to 5 years for more optimal recurrence control, especially in cases with aggressive histological features, such as intraepithelial carcinoma.11−13

This case report highlights conservative surgery as a promising fertility-preserving option for young patients with stage IC2 MBOTs. Despite ongoing debate, our case demonstrates successful treatment with no recurrence, reinforcing the need to further evaluate its oncological safety. Despite the successful outcome of our patient, this report is limited by variability in histopathological assessment and surgical techniques across different institutions, which may affect the interpretation of results and treatment outcomes. Further research is needed to establish standardized management protocols for MBOTs and evaluate the impact of various surgical approaches on patient outcomes.

 

 

Conflict of Interest

The authors affirm no conflict of interest in this study.

 

Acknowledgment

The authors would like to thank the Division of Oncology and Gynecology, Department of Obstetrics and Gynecology, Faculty of Medicine, Universitas Indonesia, Jakarta, Indonesia.

 

Funding Sources

None.

 

 

REFERENCES

 

  1. Hauptmann S, Friedrich K, Redline R, Avril S. Ovarian borderline tumors in the 2014 WHO classification: evolving concepts and diagnostic criteria. Virchows Arch. 2017;470(2):125−42.
  2. Ushijima K, Kawano K, Tsuda N, Nishio S, Terada A, Kato H, et al. Epithelial borderline ovarian tumor: diagnosis and treatment strategy. Obstet Gynecol Sci. 2015;58(3):183−7.
  3. Chen RF, Tao X, Wu BB, Li J, Wang JY, Gu WY, et al. Mucinous borderline ovarian tumors with and without intraepithelial carcinoma: differences in clinicopathologic features and fertility results. J Obstet Gynaecol Res. 2020;46(4):646−53.
  4. Sahraoui G, Fitouri A, Charfi L, Driss M, Slimane M, Hechiche M, et al. Mucinous borderline ovarian tumors: pathological and prognostic study at Salah Azaiez Institute. Pan Afr Med J. 2022;41:349.
  5. Vasconcelos I, de Sousa Mendes M. Conservative surgery in ovarian borderline tumours: a meta-analysis with emphasis on recurrence risk. Eur J Cancer. 2015;51(5):620−31.
  6. Wang P, Fang L. Salpingo-oophorectomy versus cystectomy in patients with borderline ovarian tumors: a systemic review and meta-analysis on postoperative recurrence and fertility. World J Surg Oncol. 2021;19(1):132.
  7. Helpman L, Yaniv A, Beiner ME, Aviel-Ronen S, Perri T, Ben-Baruch G, et al. Fertility preservation in women with borderline ovarian tumors - how does it impact disease outcome? A cohort study. Acta Obstet Gynecol Scand. 2017;96(11):1300−6.
  8. Hashmi AA, Naz S, Edhi MM, Faridi N, Hussain SD, Mumtaz S, et al. Accuracy of intraoperative frozen section for the evaluation of ovarian neoplasms: an institutional experience. World J Surg Oncol. 2016;14:91.
  9. Fang C, Zhao L, Chen X, Yu A, Xia L, Zhang P. The impact of clinicopathologic and surgical factors on relapse and pregnancy in young patients (≤40 years old) with borderline ovarian tumors. BMC Cancer. 2018;18(1):1147.
  10. Colombo N, Sessa C, du Bois A, Ledermann J, McCluggage WG, McNeish I, et al. ESMO-ESGO consensus conference recommendations on ovarian cancer: pathology and molecular biology, early and advanced stages, borderline tumours and recurrent disease†. Ann Oncol. 2019;30(5):672−705.
  11. Sun L, Li N, Song Y, Wang G, Zhao Z, Wu L. Clinicopathologic features and risk factors for recurrence of mucinous borderline ovarian tumors: a retrospective study with follow-up of more than 10 years. Int J Gynecol Cancer. 2018;28(9):1643−9.
  12. Lou T, Yuan F, Feng Y, Wang S, Bai H, Zhang Z. The safety of fertility and ipsilateral ovary procedures for borderline ovarian tumors. Oncotarget. 2017;8(70):115718−29.
  13. De Decker K, Speth S, Ter Brugge HG, Bart J, Massuger LF, Kleppe M, et al. Staging procedures in patients with mucinous borderline tumors of the ovary do not reveal peritoneal or omental disease. Gynecol Oncol. 2017;144(2):285−9.

 

 

mji.ui.ac.id